| 广西新闻网 > 健康频道 > 正文 |
突破技术壁垒!自治区南溪山医院完成首例腹腔镜下顺行性模块化胰体尾+脾脏切除手术 |
2025年10月15日 18:14 来源:广西云-广西新闻网 编辑:罗婧 陶昌顺 |
|
广西新闻网桂林10月15日讯(通讯员 刘紫琳)近日,自治区南溪山医院肝胆胰外科团队成功为79岁老人实施该院历史上首例腹腔镜下顺行性模块化胰体尾+脾脏切除(L-RAMPS)手术,标志着该院在肝胆胰微创外科领域迈上新台阶。
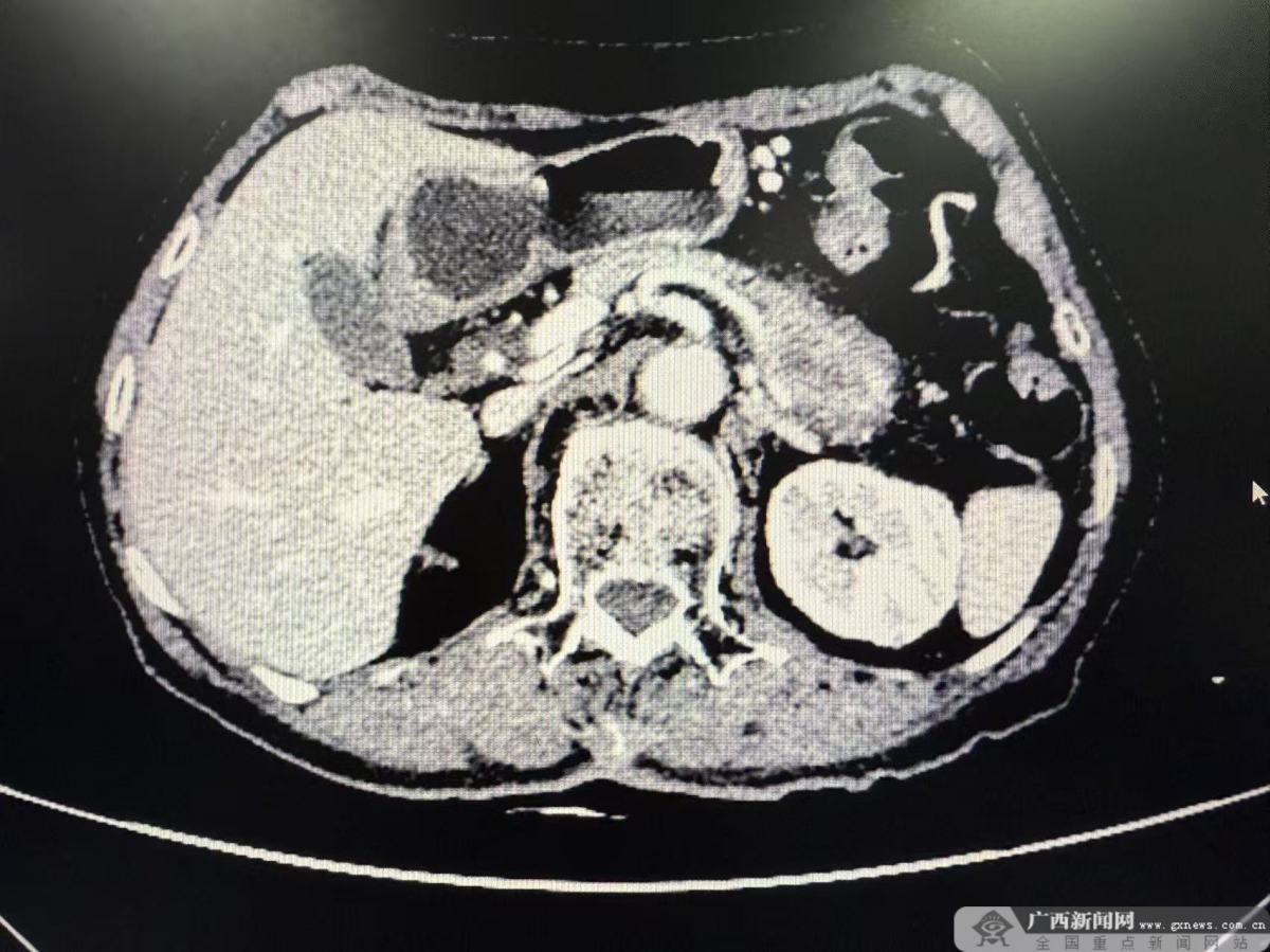
患者CT情况。自治区南溪山医院供图 此前,79岁的吕奶奶被上腹胀痛反复困扰,症状逐渐加重后,她在家人陪伴下来到自治区南溪山医院就诊。其CT检查结果让显示:胰腺体尾部占位4.5cmx3.7cm,考虑恶性肿瘤,从图像上看,肿瘤已侵犯脾动静脉。据悉,胰体尾癌的传统手术方式是胰体尾部加脾脏切除,但是该患者肿瘤已经侵犯脾动静脉,使用传统手术方式容易出现肿瘤残留而无法做到真正的完全切除。而L-RAMPS的手术难度要大于传统手术方式,但是能进行更深层面切除,以期提高患者生存率。
专家团队正在为吕奶奶做手术。自治区南溪山医院供图 “患者年龄大,肿瘤位置特殊且已侵犯重要血管,手术难度高。”肝胆胰外科副主任医师杨志坚说。由于传统开腹手术创伤大、出血多,术后恢复慢,最终,团队一致决定采用腹腔镜下顺序性模块化胰体尾+脾脏切除术,在精准切除肿瘤的同时,最大限度降低手术创伤。最终手术由杨志坚和黄芳两位副主任医师共同完成。术后,患者病理结果显示:胰腺断端切缘、脾脏组织均未发现癌累及,仅胰腺周围脂肪1枚淋巴结见癌转移,病理分期为pT3N1Mx,为后续治疗争取了有利条件。目前,吕奶奶恢复良好,已顺利出院。 此次首例腹腔镜下顺序性模块化胰体尾+脾脏切除手术的成功,不仅考验了自治区南溪山医院外科团队的技术水平,更彰显了多学科协作的强大力量。未来,自治区南溪山医院也将持续突破微创外科技术瓶颈,以更精湛的医术、更优质的服务,为广大患者的健康保驾护航,让更多像吕奶奶这样的患者在“家门口”就能享受到高水平的医疗服务。 |
|
|
扫一扫在手机打开当前页
|
| >>更多精彩图集推荐 |
|
|
||||||||||||||||||||||||||||||